Борьба с менопаузой: правильное питание для женщин среднего возраста
- Борьба с менопаузой: правильное питание для женщин среднего возраста
- Связанные вопросы и ответы
- Какие пищевые продукты следует избегать в период менопаузы
- Какие продукты полезны для женщин в период менопаузы
- Как правильно питаться для женщин, переживающих менопаузу
- Какие продукты могут улучшить состояние женщины в период менопаузы
- Какие продукты могут усугубить симптомы менопаузы
- Как питание влияет на симптомы менопаузы
- Как питание влияет на гормональный фон женщины в период менопаузы
Борьба с менопаузой: правильное питание для женщин среднего возраста
Со своим организмом не надо сражаться. Намного лучше понять, чем вызваны те или иные перемены, чтобы помочь своему организму (а, значит, и себе) пережить период гормональной перестройки. Ученые доказали, что правильно подобранный рацион в период менопаузы помогает уменьшить проявление неприятных симптомов, сохранить здоровье и хорошее настроение.
Первое, что стоит понять, – это повышенный аппетит и тягу к сладким и жирным продуктам. Природа этого желания простая: организму не хватает эстрогенов, а жировая ткань умеет их вырабатывать. Поэтому организм дает сигнал «накопить» побольше жира, чтобы получить побольше эстрогенов. Выход очень простой:
- Включите в свой рацион соевые продукты (тофу, соевое молоко, продукты из сои) – они содержат фитоэстрогены, которые частично заменяют настоящие эстрогены. Если вы не любите сою, есть альтернатива – комплекс
Менсе или любой другой с изофлавонами сои в составе. - В качестве сладостей выбирайте фрукты. Так вы получите еще полезную клетчатку и другие вещества, а заодно уменьшите калорийность рациона.
- Если без шоколада – никак, рассмотрите варианты горького шоколада, а также шоколада на заменителях сахара. Только учтите, что фруктоза, мед, сироп рожкового дерева и финиковый сироп не являются заменителями сахара, поскольку усваиваются и метаболизируются организмом так же, как сахар. Кроме того, шоколад может усиливать приливы, проследите за этим. Если заметите, что это ваш случай, то от шоколада лучше отказаться совсем.
Второе, о чем следует помнить, – это замедлении метаболизма. Поэтому из рациона следует исключить продукты, которые долго и тяжело перевариваются: копчености, жирные продукты и блюда (суп на грудинке, свиную рульку, соленое сало и т.д.). Также на время климакса желательно отказаться от продуктов, раздражающих слизистую ЖКТ: острые специи, блюда с уксусом и острыми соусами. Предпочтительные способ приготовления пищи: отваривание, запекание, тушение.
А что же можно и нужно есть при климаксе?
- Мясо. Красное мясо и субпродукты (говядина, баранина, печень, сердце) – желательно есть 1-2 раза в неделю, так как они является источником незаменимых белков и железа. В остальное время следует отдавать предпочтение белому мясу: кролик, телятина, птица.
- Рыба. Предпочтительные виды: лосось, скумбрия, сельдь и сардины. Но можно употреблять все сорта рыбы, которые вам нравятся, в том числе и в консервах. Рыба содержит омега-3 и витамин D3, является источником белка, фосфора и кальция. Последние два минерала особенно важны для женщин после менопаузы для поддержания плотности костной ткани.
- Молочные продукты: творог, йогурт, кефир, сыры – обязательная часть рациона при климаксе. Регулярное употребление этих продуктов помогает поддержать работу ЖКТ, нормальное состояние слизистых и кожи. Но самое главное, кисломолочные продукты являются профилактикой остеопороза (позднего осложнения климакса). Однако следует выбирать продукты с жирность 5%, а не обезжиренные.
- Бобовые (фасоль, нут, бобы, чечевица) являются источником полезных растительных белков, клетчатки (нужна для правильного пищеварения, замедляет отложение абдоминального жира), витаминов группы В. Кроме того, регулярное употребление бобовых помогает снизить уровень сахара и холестерина в крови.
- Из круп предпочтение стоит отдавать гречке, бурому рису, полбе, цельнозерновым макаронным изделиям. Они дают организму энергию за счет «медленных» углеводов, но не ведут к набору веса.
- Овощи. Старайтесь включать их в каждый прием пищи. Даже небольшое количество овощей ежедневно принесет пользу при гормональной перестройке. Исключение – все виды перца (они усиливают приливы), картофель и батат (слишком калорийны).
Связанные вопросы и ответы:
Вопрос 1: Что такое менопауза и какое ее влияние на питание
Менопауза - это естественный процесс, связанный с окончанием репродуктивного периода у женщин. В период менопаузы у женщин могут возникать различные симптомы, такие как потливость, снижение уровня эстрогенов, изменения настроения и т.д. Эти изменения могут повлиять на питание, поскольку уровень эстрогенов влияет на аппетит, метаболизм и обмен веществ.
Вопрос 2: Как изменения уровня эстрогенов влияют на питание в период менопаузы
Изменения уровня эстрогенов могут влиять на питание в период менопаузы, поскольку эстрогены влияют на аппетит, метаболизм и обмен веществ. Уровень эстрогенов может влиять на чувство голода и насыщения, а также на способность к набору веса. Кроме того, эстрогены могут влиять на метаболизм и обмен веществ, что может привести к изменениям в потреблении калорий и углеводов.
Вопрос 3: Какие пищевые продукты рекомендуется употреблять в период менопаузы
В период менопаузы рекомендуется потреблять больше пищевых продуктов, богатых железом, витаминами и минералами, таких как зеленые листовидные овощи, бобовые, яйца, рыба и морепродукты. Кроме того, рекомендуется ограничить потребление продуктов, богатых углеводами и жирами, таких как сладости, выпечка и макаронные изделия.
Вопрос 4: Какие пищевые продукты следует избегать в период менопаузы
В период менопаузы следует избегать продуктов, богатых углеводами и жирами, таких как сладости, выпечка и макаронные изделия. Кроме того, следует избегать продуктов, содержащих много соли, таких как соленья и соленые орехи.
Вопрос 5: Как изменения уровня эстрогенов влияют на вес в период менопаузы
Изменения уровня эстрогенов могут влиять на вес в период менопаузы, поскольку эстрогены влияют на способность к набору веса. Уровень эстрогенов может влиять на чувство голода и насыщения, а также на способность к набору веса. Кроме того, эстрогены могут влиять на метаболизм и обмен веществ, что может привести к изменениям в потреблении калорий и углеводов.
Вопрос 6: Как изменения уровня эстрогенов влияют на уровень сахара в крови в период менопаузы
Изменения уровня эстрогенов могут влиять на уровень сахара в крови в период менопаузы, поскольку эстрогены влияют на способность к набору веса и метаболизм. Уровень эстрогенов может влиять на чувство голода и насыщения, а также на способность к набору веса. Кроме того, эстрогены могут влиять на метаболизм и обмен веществ, что может привести к изменениям в потреблении калорий и углеводов.
Вопрос 7: Как изменения уровня эстрогенов влияют на сердечно-сосудистую систему в период менопаузы
Изменения уровня эстрогенов могут влиять на сердечно-сосудистую систему в период менопаузы, поскольку эстрогены влияют на метаболизм и обмен веществ. Уровень эстрогенов может влиять на способность к набору веса, а также на способность к накоплению жира в организме. Кроме того, эстрогены могут влиять на метаболизм и обмен веществ, что может привести к изменениям в потреблении калорий и углеводов.
Какие пищевые продукты следует избегать в период менопаузы
Питание в период климакса должно включать продукты, содержащие фитоэстрогены:
- Семена льна. В день достаточно употреблять всего 40 г семян (2 чайные ложечки). Измельченные в кофемолке семена можно добавлять в каши, салаты, творог, коктейли и т.д.
- Соевые продукты – сыр тофу, бобы, соевый соус. Употребляя такие диетические продукты, женщина сможет не только не набирать лишний вес, а даже худеть. Главное, чтобы не было в сое ГМО.
Ежедневным употреблением этих продуктов можно уменьшить приливы.
Правильные продукты, которые обязательно должны включаться в питание во время менопаузы:
- Молочные продукты с низким содержанием жира – источник кальция и витамина D.
- Цельнозерновые продукты – недробленные крупы, а также хлеб и макароны из муки грубого помола. Они обеспечивают организм витаминами группы B, а также ценными пищевыми волокнами, которые нормализуют работу желудочно-кишечного тракта.
- Жирная рыба – поставляет в организм Омегу-3 и важные жирные кислоты.
- Постное мясо – курица, индейка, кролик и телятина. Незаменимый источник железа, а также белка.
- Все виды орехов и растительных масел (особенно оливковое, льняное) снабжают организм витамином Е, полиненасыщенными кислотами.
- Овощи и фрукты обеспечивают организм витаминами С, А, К, а также грубыми волокнами. Регулярно на столе должны быть: свекла, морковь, тыква, кабачки, капуста, помидоры и зелень, а также яблоки. Очень важно употреблять ягоды: черную смородину, крыжовник, малину, клубнику, черешню.
Очень важно при возможности включать в рацион разнообразные морепродукты и морскую капусту, которая кроме других важных микроэлементов содержит йод. Полезно употреблять днем небольшие порции сухофруктов, маленькая горсточка, а также черного шоколада, буквально 40 г.
Какие продукты полезны для женщин в период менопаузы
Климакс — это естественный этап старения организма. В среднем он наступает в 45-55 лет, и одним из его этапов становится менопауза. Так называют последнюю в жизни женщины менструацию. Её определяют всегда постфактум. Если у женщины уже 12 месяцев нет менструации — значит, это менопауза.
На заметку:
Понятия «менопауза» и «климакс» очень близки. В быту менопаузой называют и последнюю менструацию, и весь период после неё. Но специалисты считают, что это разные термины!
С медицинской точки зрения период после прекращения менструаций правильнее называть постменопауза. Ну а климакс — это весь период угасания репродуктивной функции. Он включает пременопаузу (переходные изменения, когда уже уменьшается выработка эстрогена, но месячные ещё идут), собственно менопаузу и постменопаузу.
В климактерическом периоде многие женщины жалуются на приливы жара , сухость кожи, снижение либидо, резкие перепады настроения, колебания артериального давления, усиленное потоотделение и частый пульс. С такой симптоматикой становится сложнее становится вести привычный образ жизни, работать, общаться друзьями и проводить время с семьёй.
Справиться с симптомами климакса помогают здоровые привычки и психологический настрой, а также различные растительные и гормональные препараты. Их назначает гинеколог с учётом тяжести состояния.
Исследователи из Университета Земмельвейса в Будапеште также считают, что избавиться от проявлений климакса поможет соблюдение диеты. Вот что они предлагают:
- Ограничить употребление красного мяса — не более 500 г говядины в неделю.
- Не есть переработанное мясо — например, сосиски или ветчину.
- Не есть сладости.
- Ограничить употребление алкоголя.
При этом венгерские учёные рекомендуют увеличить долю белка в рационе до уровня спортсменов, занимающихся тяжёлой атлетикой. Это примерно 1,2 г белка на килограмм веса в сутки. Например, женщине весом 70 кг нужно съедать две с половиной куриные грудки в день. А ещё — увеличить употребление молока и кисломолочных продуктов.
По мнению исследователей, это поможет сохранить здоровье костей, улучшить работу сердца и сосудов, устранить приливы и другие проявления климакса.
Как правильно питаться для женщин, переживающих менопаузу
Известно, что период климакса является естественным этапом в жизни каждой женщины. Климакс представляет собой постепенное угасание репродуктивной функции организма, что оказывает непосредственное влияние на все системы женского тела. В результате возникают различные расстройства в работе внутренних органов.
Период климакса включает несколько фаз: пременопаузу, менопаузу и постменопаузу. Первые две фазы иногда объединяются под общим термином "перименопауза".
В течение климакса происходит снижение и прекращение синтеза половых гормонов, особенно эстрогенов. Эти гормоны производятся яичниками. У женщины при рождении присутствует около трех миллионов яйцеклеток, а к моменту климакса их количество сокращается до около 10 000. После наступления менопаузы остаются только отдельные фолликулы, которые вскоре также исчезают. Небольшой процент яйцеклеток теряется при овуляции, а основная их часть подвергается атрофии.
В первой фазе цикла у женщины происходит рост нескольких фолликулов, которые являются временными гормональными структурами. К моменту овуляции остается только один наиболее здоровый фолликул. В конце первой фазы цикла оболочка фолликула разрывается, освобождая готовую к оплодотворению яйцеклетку, которая может быть оплодотворена в течение двух суток. На месте фолликула образуется желтое тело, которое вырабатывает прогестерон. Перед наступлением месячных желтое тело рассасывается, если зачатия не произошло.
Эстрогены играют важную роль не только в репродуктивной системе, но и в общем функционировании организма. Они способствуют усвоению кальция в костях, поддерживают упругость кожи, здоровье волос и ногтей, а также регулируют работу практически всех систем организма.
Пременопауза обычно начинается в 45 лет. У некоторых женщин климакс может начаться раньше или позже, что может быть как физиологическим, так и патологическим. Продолжительность пременопаузы составляет до пяти лет. В этот период происходит резкое снижение уровня эстрогенов и увеличение выработки ФСГ, что приводит к нарушению менструального цикла. Могут появиться обильные или скудные месячные, а также изменение длины цикла.
Однако изменения, связанные с климаксом, затрагивают не только репродуктивную функцию. Организм начинает адаптироваться к дефициту эстрогенов, что приводит к появлению приливов, головных болей, изменениям артериального давления, сердечной тахикардии и болей в области сердца. Также нарушается сон и эмоциональное состояние женщины.
При наличии сопутствующих заболеваний симптомы климакса могут быть усилены. Усиление симптомов может быть вызвано неправильным питанием и игнорированием диеты. Во время климакса метаболизм замедляется, поэтому потребность в пище сокращается. Переедание может привести к ожирению и развитию других заболеваний.
Прекращение менструаций и последующий год подразумевают наступление менопаузы. В этот период беременность становится невозможной из-за отсутствия менструаций и циклов. У женщин могут возникать различные урогенитальные расстройства, связанные с атрофией слизистых оболочек мочевого пузыря и влагалища.
Появляются частые позывы к мочеиспусканию, которые становятся болезненными. Половые акты могут стать болезненными из-за сухости. Отсутствие эстрогенов влияет на качество цервикальной слизи, которая обычно увлажняет влагалище. Возможно развитие воспалительных процессов из-за потери защитных свойств слизистой оболочки.
В этот период употребление запрещенных продуктов и алкоголя может усугубить симптомы климакса, так как они раздражают стенки мочевого пузыря. Поэтому важно соблюдать диету и принципы здорового питания во время менопаузы.
Постменопауза является последней фазой климакса, предшествующей старости. Она является самым продолжительным этапом, который может продолжаться до 69 лет. В этот период повышается риск развития остеопороза из-за вымывания кальция из костей, а также инфарктов, инсультов, атеросклероза и болезни Альцгеймера. Для профилактики этих патологий важно соблюдать диету, исключать жирные продукты, острые блюда и алкоголь из рациона питания во время климакса.
Климакс не является болезнью, его появление естественно и неизбежно. Однако в некоторых случаях климакс может протекать с тяжелыми симптомами, которые существенно снижают качество жизни и работоспособность женщины. Специальная диета и правильное питание во время климакса могут помочь облегчить патологические симптомы.
Какие продукты могут улучшить состояние женщины в период менопаузы
Симптомы климактерического синдрома условно подразделяют на нейровегетативные, обменно-эндокринные и психоэмоциональные.
Нейровегетативные:
- один из наиболее характерных симптомов — периодические приливы крови к поверхности кожи лица, шеи, груди, верхней части туловища, которые сопровождаются покраснением и чувством жара;
Приливы во время климакса
- повышенное потоотделение;
- ощущение познабливания;
- эпизодические перепады артериального давления;
- приступы тошноты, "дурноты", головокружения;
- головные боли;
- дискомфорт в области сердца, загрудинные боли, приступы сердцебиения.
Обменно-эндокринные:
- необъяснимая прибавка в весе, отёчность;
- повышенный уровень холестерина в крови;
- снижение тургора (упругости, эластичности) и сухость кожных покровов;
- дискомфортные проявления в молочных железах — тяжесть, нагрубание, боли, усугубление имевшейся ранее мастопатии ;
- зуд и жжение в области наружных половых органов, сухость и ранимость слизистой оболочки влагалища, что делает половые контакты болезненными;
- мажущие выделения вне менструаций (до наступления менопаузы), маточные климактерические кровотечения (иногда они могут быть очень обильными);
- дизурические расстройства — болезненное, учащённое мочеиспускание, в том числе ночное, недержание мочи (непреодолимые позывы, стрессовое недержание при смехе и кашле);
- появление болей в суставах и костях, начальные проявления остеопороза;
- сухость слизистой оболочки глаз, конъюнктивит, блефарит ;
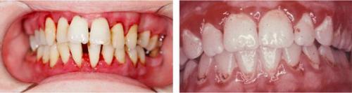
- дисфункция слюнных желёз, сухость в полости рта, воспалительные изменения пародонта, атрофические изменения дёсен, интенсивное оседание десневого края, оголение шеек зубов.
Поражение дёсен при климаксе
Психоэмоциональные:
- эмоциональная лабильность (неустойчивость), беспричинные перепады настроения, плаксивость;
- раздражительность, приступы агрессии;
- снижение полового влечения (либидо);
- повышенная тревожность;
- приступы апатии, депрессивные состояния;
- проблемы с концентрацией внимания, рассеянность, ухудшение памяти;
- расстройства сна — дневная сонливость, бессонница , храп, ночное апноэ (остановки дыхания во сне);
- труднообъяснимые необычные ощущения — покалывание, онемение, "мурашки".
Зачастую обилие и многообразие проявлений имеют психосоматическое происхождение. Они во многом зависят от отношения самой пациентки к изменениям, происходящим в её организме (в частности, от повышенной тревожности по этому поводу).
Что происходит с менструацией перед климаксом
Как правило, менструации становятся более скудными и короткими, а промежутки между ними увеличиваются вплоть до полного прекращения менструаций.
Признаки раннего климакса в 30-40 лет и в более позднем возрасте
Признаки климакса одинаковы в любом возрасте — это прекращение менструаций и изменение уровня гормонов. Разница лишь в том, что в 30-40 лет климакс нужно более тщательно дифференцировать с другими состояниями, сопровождающимися аменореей .
Какие продукты могут усугубить симптомы менопаузы
Тут есть повод для радости тем женщинам, которым необходимо принимать препараты на гормональной основе при наличии конкретных симптомов или некоторых факторов риска. Чтобы заменить недостающие у женщины гормоны, нужно добавить не один только эстроген, а еще несколько других веществ. Это те вещества, которые генерируют яичники у женщины в организме: прогестероны и андрогены. Называть те соединения, которые есть в некоторых гормональных препаратах естественными, некорректно, а порой даже абсурдно. А те гормональные вещества, которые входят в состав препаратов при климаксе, но имеют животное происхождение, не очень совместимы с женским организмом.
У женщины в период климакса показатели иммунитета несколько ниже, чем у женщин в более молодом возрасте, а гормональные соединения могут больше усугубить эту ситуацию. Более разумно использовать соединения растительного происхождения, которые содержатся в некоторых бобовых. Несмотря на то, что естественные гормональные структуры в женском организме отличаются от растительных по составу, за много веков употребления растительной пищи они стали совместимыми.
Так называемые гормоны естественного происхождения — это те же соединения, которые входят в состав бобовых. Чтобы организм в период климакса мог усвоить вещества, их предварительно модифицируют в лабораторных условиях. Процесс еще называют биологической модификацией или биологической идентификацией. Поэтому все те гормональные элементы, которые содержатся в доступных препаратах (эстроген, тестостерон и другие) могли быть модифицированными.
Но вывод один — не имеет значение происхождение гормонов. Важно, чтобы женский организм воспринимал их нормально и не возникало побочных эффектов.
Как питание влияет на симптомы менопаузы
Задерживая внимание на питании с целью похудеть при климаксе, нужно для начала исключить чревоугодие, а питаться исключительно для получения энергии от продуктов. Из-за переедания, в организм поступают лишние килокалории, с которыми он не справляется и как следствие откладывается жир.
Чтобы потом побороть полноту, необходимо выполнять целый комплекс мероприятий, однако именно питание при климаксе играет важнейшую роль.
Питаться при климаксе необходимо согласно двум правилам:
- снизить калорийность продуктов;
- уменьшить размер порций.
В ежедневном рационе должно больше быть растительных, а не животных жиров, на столе должны находиться овощи, фрукты, постное мясо и рыба, салаты, заправленные легкими заправками и всевозможные орехи. Избегайте по максимуму сладкое, мучное, жареное, копченое, соленое, а также кетчуп и майонез. Ежедневно нужно выпивать около двух литров воды без газа.
Из-за нехватки в организме эстрогена идет замедление процессов обмена. Как бороться с лишними килограммами и при этом наладить обменные процессы? Следует восполнить дефицит данного гормона. Кетогенная диета должна включать продукты с фитоэстрогенами. К таким продуктам можно отнести разные виды бобовых.
Примерное соотношение продуктов в ежедневном рационе: 60% овощей и фруктов, 25% белков и 15% медленных углеводов. Составляйте ежедневное меню заранее, подсчитав потребление калорий по дням. Помните, для потери веса нужно потреблять в сутки не больше 1500 килокалорий, а кому-то и того меньше. Лучше, чтобы продукты с более высокой калорийностью шли на завтрак, а менее сытные оставались для ужина.
Как питание влияет на гормональный фон женщины в период менопаузы
Специальная диета при остеопорозе – часть терапии. Она помогает восполнить дефицит необходимых костям веществ, остановить патологический процесс и укрепить скелет совместно с грамотно разработанным медикаментозным планом лечения.
Чаще всего заболевание развивается из-за нарушения употребления ряда нутриентов (питательных веществ, витаминов, минералов). Минеральная основа скелета – это фосфор и кальций. И в большинстве случаев именно нарушение обмена этих веществ приводит к остеопорозу. Чтобы организм получал достаточно кальция, важна хорошая его всасываемость кишечным трактом. Этот процесс будет проходить правильно при трех условиях:
- диета при остеопорозе должна содержать достаточно кальция;
- организм должен быть обеспечен витамином D;
- желудочно-кишечный тракт должен быть здоров.
Когда организму не хватает кальция, он извлекает его из костей. В результате и уменьшается костная масса, скелет становится хрупким. Сегодня приняты следующие нормы потребления кальция в сутки:
- для детей от 1 до 3 лет – 500 мг;
- для детей от 4 до 8 лет – 800 мг;
- для подростков от 9 до 18 лет – 1300 мг;
- от 18 до 60 лет – 1000 мг;
- рацион питания для пожилых (старше 60 лет) для предотвращения остеопороза должен содержать 1200 мг.
Меню при остеопорозе должно составляться индивидуально. При этом сначала выясняют возможные причины низкой абсорбции кальция в кишечнике. Это может быть:
- почечная недостаточность;
- синдром мальабсорбции, связанный с энтеропатией;
- нарушение гормональной регуляции (питание при остеопорозе у женщин назначается после анализа на эстрогены, а также – и у мужчин в том числе – на гормоны щитовидной железы, инсулин, кальцитонин, паратгормон);
- много кислот в рационе – щавелевой, аскорбиновой, лимонной.
Нужно выяснить и причины, по которым организм стал нуждаться в повышенном потреблении кальция, то есть почему он буквально разрушает сам себя. Это может быть связано с:
- артериальной гипертензией;
- опухолями толстого кишечника;
- повышенным выведением кальция из организма с желчью или мочой;
- гиперпаратиреозом.
Основные направления диетотерапии при составлении меню при остеопорозе:
- включение в рацион продуктов, богатых кальцием;
- минерализация воды;
- стимуляция секреторной функции желудка посредством диеты;
- улучшение усвоения кальция организмом;
- восстановление процесса всасывания кальция кишечником.
При определении того, что есть при остеопорозе конкретному пациенту, учитывают пищевую непереносимость и возможные ферментопатии. К последним относится недостаточность лактозы, например.
При определении плана правильного питания при остеопорозе часто совершается ряд ошибок:
- недостаток кальция в рационе;
- избыток пищевых волокон, щавелевой и фитиновой кислот;
- дефицит белков, как и их избыток, приводящий к высокому выведению кальция с мочой;
- избыток углеводов и фосфора в рационе;
- злоупотребление кофе и кофеинсодержащими напитками;
- употребление большого количества алкоголя;
- избыток натрия, при котором кальций тоже теряется с мочой;
- повышенный калораж;
- недостаток витамина D, редкие прогулки в солнечные дни;
- дефицит жиров (он приводит к нарушению усвояемости витамина D и других жирорастворимых нутриентов), а также их значительный избыток, при котором плохо всасывается кальций.
Если еда при остеопорозе содержит адекватное (физиологическое) количество белков, то всасывается примерно 15% кальция. При дефиците белков этот показатель падает до 5%.
Исключительно вегетарианская диета, с точки зрения медицины, доказано вредна. Продуктов, которые употребляет вегетарианец, при остеопорозе недостаточно. Обязательно нужно включать в рацион молочные продукты.
Особенно это важно для женщин в период менопаузы. Если же включение такой пищи невозможно, то получать кальций вегетарианцы могут из тофу, соевого молока, неочищенного зерна, репы, капусты, орехов, бобовых культур.
Какие молочные продукты нужно есть при остеопорозе
Молоко и молочные продукты – лучшие источники кальция. 100 мг этого вещества содержится в следующих порциях:
- 90 г молока;
- 90 г кефира или йогурта;
- 70-80 г творога;
- 110 г сметаны;
- 20-25 г плавленого сыра (настоящего, а не сырного продукта);
- 15 г твердого сыра;
- 75 г натурального сливочного или молочного мороженого.
Полностью покрыть суточную потребность в кальции только продуктами питания нельзя. Поэтому принимают карбонат кальция или кальция цитрат (при низкой секреции желудка).
Влияние питания на гормональный фон женщины в период менопаузы
Питание играет решающую роль в поддержании гормонального баланса у женщин в период менопаузы. Правильно составленная диета может помочь смягчить симптомы менопаузы и поддержать общее здоровье.
Влияние питательных веществ на гормональный фон
- Кальций и витамин D: Необходимы для поддержания здоровья костей и предотвращения остеопороза.
- Омега-3 жирные кислоты: Помогают уменьшить воспаление и поддержать здоровье сердца.
- Фитоэстрогены: Содержатся в некоторых продуктах питания, таких как соя и цельнозерновые, и могут помочь уменьшить симптомы менопаузы.
- Витамин B6 и магний: Необходимы для поддержания здоровья нервной системы и уменьшения симптомов менопаузы.
Продукты питания, рекомендуемые для женщин в период менопаузы
- Цельнозерновые продукты: Хлеб, макароны, рис.
- Овощи и фрукты: Богаты витаминами и минералами.
- Молочные продукты: Содержат кальций и витамин D.
- Рыба и морепродукты: Богаты омега-3 жирными кислотами.
- Соя и продукты из сои: Содержат фитоэстрогены.
Продукты питания, которые следует избегать
- Продукты с высоким содержанием сахара: Могут вызвать перепады уровня сахара в крови.
- Продукты с высоким содержанием жира: Могут увеличить риск сердечно-сосудистых заболеваний.
- Продукты с высоким содержанием соли: Могут увеличить риск гипертонии.
Правильно составленная диета может помочь женщинам в период менопаузы поддержать гормональный баланс и общее здоровье. Однако, перед началом любой диеты, следует проконсультироваться с врачом или диетологом.